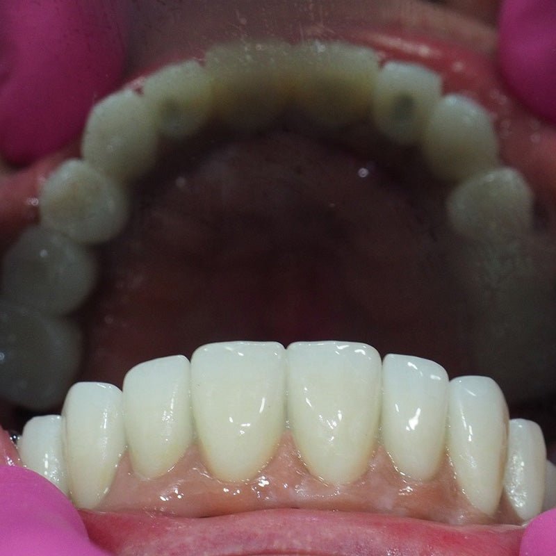
La circonia, o dióxido de circonio, es un material cerámico de alta resistencia que ofrece una excelente compatibilidad con el tejido humano, lo que lo convierte en una opción ideal para crear restauraciones dentales duraderas y estéticamente agradables.
Esta guía completa profundiza en todos los aspectos de los bloques de circonio dental, explorando sus propiedades, variedades, pautas de uso y ventajas para proporcionar una comprensión más profunda de esta innovadora herramienta dental.

Propiedades de la circona dental
La circona es un dióxido de circonio cristalino, conocido por su dureza y resistencia a las grietas. Estas características se derivan principalmente de su mecanismo único de transformación y endurecimiento de fase. Cuando se aplica tensión, el circonio puede pasar de una fase tetragonal a una fase monoclínica; esta transformación ocurre a menudo para compensar la tensión. Además, la circona presenta una excelente biocompatibilidad, lo que hace que su interacción dentro del cuerpo sea favorable.
En conjunto, el circonio dental es el material cerámico más resistente utilizado en la odontología moderna. Su poder, junto con propiedades estéticas excepcionales, prepara el escenario para su uso en una amplia gama de restauraciones dentales.

Tipos de bloques de circonio dental
Los bloques dentales de circonio vienen en varios tipos y satisfacen las diversas necesidades de los pacientes. Los tres tipos más comunes incluyen:
1. Zirconia de alta translucidez: estos bloques tienen una mayor translucidez para imitar la apariencia de los dientes naturales con mayor precisión y se usan generalmente en restauraciones anteriores, carillas, incrustaciones y onlays.
2. Zirconia sólida: este tipo es menos translúcido pero muestra mayor resistencia para restauraciones más sustanciales, generalmente se usa para restauraciones posteriores o bruxistas.
3. Circonio 3Y o de alta resistencia: Los bloques de circonio 3Y contienen 3% en moles de itria y se someten a un proceso de circonio parcialmente estabilizado, lo que les otorga la mayor resistencia para aplicaciones exigentes.

Secretos ocultos para el éxito en el fresado CAD/CAM
Las restauraciones de circonio generalmente se fresan utilizando un sistema CAD/CAM, lo que permite una fabricación de restauración precisa, conveniente y eficiente. Para obtener mejores resultados, los siguientes factores son cruciales:
1. Comprensión del material: una comprensión integral de las propiedades, tipos, usos y limitaciones de la circona puede mejorar el éxito del procedimiento.
2. Precisión digital: La belleza de la tecnología CAD/CAM radica en la precisión que ofrece. Esto permite a los profesionales dentales fresar restauraciones con excelentes ajustes marginales.
3. Procedimientos de posprocesamiento: Una vez fresada, la restauración de circonio debe someterse a un proceso de sinterización para alcanzar su dureza y color finales. Una sinterización adecuada es la quintaesencia del éxito de la restauración.
Del laboratorio dental a la aplicabilidad bucal
Los bloques dentales de circonio se utilizan para fabricar una variedad de restauraciones:
1. Coronas: Tanto el circonio de contorno completo como el de circonio en capas de porcelana se pueden utilizar para fabricar coronas que puedan soportar altas fuerzas oclusales y al mismo tiempo imitar eficazmente la apariencia de los dientes naturales.
2. Puentes: Debido a su tremenda resistencia a la tracción, el circonio se puede utilizar de manera eficiente en puentes de múltiples unidades, incluso en la región posterior.
3. Restauraciones sobre implantes: La circona es resistente a la corrosión, lo que la convierte en un material adecuado para fabricar restauraciones sobre implantes duraderas y estéticamente agradables.
4. Inlays, Onlays y Carillas: La excelente biocompatibilidad y las características estéticas superiores de la circonia la convierten en una opción ideal para restauraciones conservadoras como inlays, onlays y carillas.

Ventajas de utilizar bloques de circonio dental
Numerosas ventajas de los bloques dentales de circonio han llevado a su amplia aceptación en odontología:
1. Resistencia y durabilidad: La circona es famosa por su dureza, que supera la de las resinas acrílicas y de porcelana tradicionales, lo que da como resultado restauraciones que resisten significativamente la tensión mecánica.
2. Estética: El circonio altamente translúcido imita fielmente la apariencia de los dientes naturales, mejorando el resultado estético general.
3. Biocompatibilidad: La circona presenta una excelente biocompatibilidad, lo que resulta en poca o ninguna irritación del tejido circundante.
4. Eficiencia: La tecnología CAD/CAM acelera el proceso de fabricación de restauraciones de circonio, proporcionando un tiempo de respuesta más rápido.
5. Versatilidad: debido a los diferentes tipos de bloques de circonio y sus distintas propiedades, se pueden utilizar para una amplia gama de restauraciones.
Conclusión
Al realizar una inspección de 360 grados del mundo de los bloques de circonio dental, resulta evidente que esta tecnología innovadora realmente ha revolucionado el campo de la odontología restauradora y estética. Sus atributos transformadores han establecido un firme punto de referencia en la restauración dental. Al ofrecer resistencia superior, apariencia natural, biocompatibilidad y versatilidad, los bloques de circonio dental son un testimonio de cómo la tecnología avanzada puede mejorar el arte de la odontología. Sin embargo, comprender los matices de los bloques de circonio y aplicarlos adecuadamente es fundamental para aprovechar su potencial y allanar el camino para restauraciones exitosas.






