
Understanding CAD/CAM in Dentistry
CAD/CAM technology involves computer systems that design, model, and manufacture dental restorations such as crowns, veneers, inlays, onlays and bridges, significantly optimizing the dental restoration process. CAD/CAM blocks are specific materials used in conjunction with this technology to carve out the accurate digital design of dental restorations. They can be made from various restorative materials such as zirconia, lithium disilicate, or composite resins.
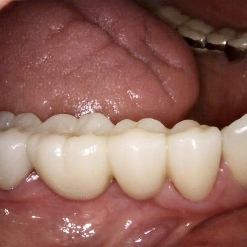
Benefits of CAD/CAM Blocks in Dentistry
1. Advanced Precision and Accuracy: CAD/CAM technology enables extraordinarily precise and consistent restorations. The blocks are used with advanced digital imaging, resulting in highly fitted restorations that need minimal adjustment.
2. Time-Efficiency: Often, restorations from CAD/CAM blocks can be fabricated in a single visit, owing to in-office milling machines, reducing the need for multiple appointments and temporary prosthetics.
3. Enhanced Aesthetics: CAD/CAM blocks come in multiple shades. The end product closely resembles natural teeth, offering superior aesthetic results, hence catering better to cosmetic dentistry.
4. Improved Patient Satisfaction: Faster procedures, higher accuracy, durability, and aesthetic appeal all contribute to improved patient satisfaction.
5. Material Options: CAD/CAM blocks come in a variety of materials, including ceramics like lithium disilicate and zirconia and composite resin, providing options to suit various clinical situations.
6. Digital Impressions: The CAD/CAM system requires digital impressions, which are more comfortable for patients than traditional impression materials.
7. Fewer Complications: This system requires fewer clinical steps, reducing the risk of surgical errors and complications. Besides, digital designs can be saved for future reference or modifications.
8. Conservation of Natural Tooth: The precision of CAD/CAM technology often means less tooth structure needs to be removed compared to traditional restorations.

Limitations of CAD/CAM Blocks in Dentistry
Despite these significant benefits, CAD/CAM blocks in dentistry come with a few limitations too:
1. Investment: The technology and associated materials require considerable financial investment.
2. Learning Curve: Implementing and mastering the use of CAD/CAM systems can be a lengthy process for dental professionals.
3. Technique Sensitivity: Proper preparation, precise digital impressions, and accurate bonding are required to achieve the desired result, requiring skilled professionals.
Conclusion
CAD/CAM blocks in dentistry represent a significant leap in the evolution of restorative and cosmetic dentistry, bringing significant advantages in terms of precision, efficiency, aesthetics, and patient satisfaction. The technology continues to revolutionize the field, promising a future where visitors to the dentist can rely on fast, efficient, comfortable, and high-quality restorative procedures. Notwithstanding the few limitations, the integration of CAD/CAM blocks in dental practices heralds a transformative and exciting era in dental care, paving the way towards enhancing clinical outcomes and patient experiences.






